Medical AI Platform

プログラミング不要な
医用AI開発・解析
プラットフォーム

Growth RTV シリーズは、3D医用画像(DICOM)のAI訓練・臓器自動抽出をノーコードで実現する医用AI開発プラットフォームです。研究・教育向け無償版(Growth RTV Cloud)から幅広く展開しています。

NVIDIA Inception Partner
NVIDIA MONAI対応
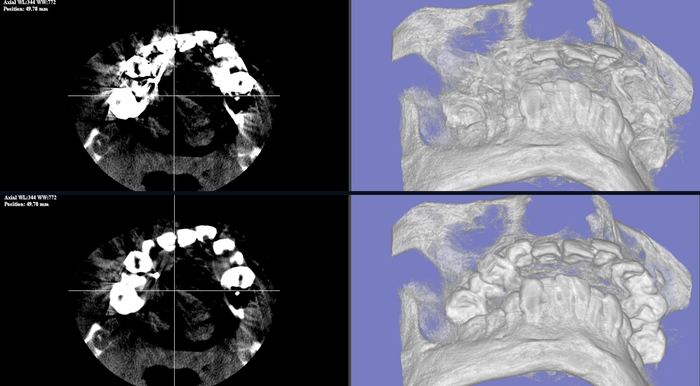
Growth RTV 放射線治療計画UI Growth RTV VBN気管支ナビゲーション Growth RTV AI臓器自動抽出 Growth RTV D-MARアーチファクト低減
SCROLL
主要機能

医用AI開発を
誰でも・すぐに・高精度に

プログラミング知識がなくても、臨床現場の専門家が直接AIモデルを構築・活用できる。 放射線治療計画から研究用データ解析まで、医療AIのあらゆるニーズに対応。

ノーコードAI開発

プログラミング不要でDICOM RT/CT/MRの3D医用画像に対するAI訓練が可能。 GUIによる直感的な操作で誰でも深層学習モデルを構築できます。

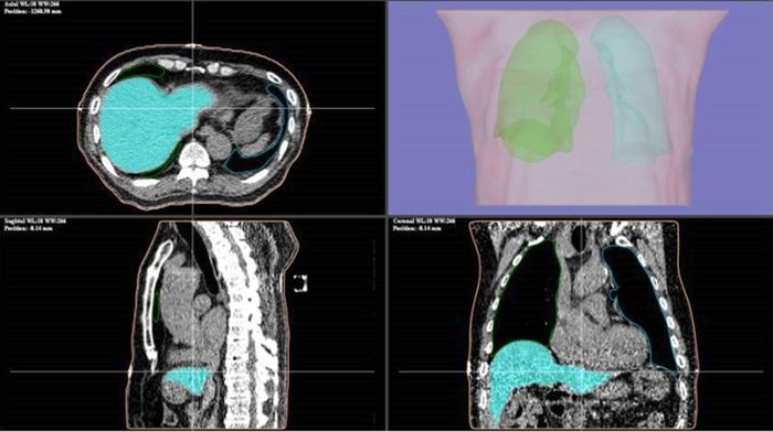
深層学習による臓器自動抽出

ワンクリックで胸腹部臓器の3D領域を自動抽出。体表・肺・肝臓・腎臓・脊柱管など 7種類以上の臓器に対応。放射線治療計画の大幅な効率化を実現。

D-MAR金属アーチファクト低減

AIによるCT金属アーチファクト低減機能(D-MAR)。インプラントや 金属異物によるアーチファクトを自動検出・補正し、治療計画精度を向上させます。

3Dボリューム画像データ拡張

少ない医用画像データセットから変形・回転・スケール等の操作による データ増強を実現。深層学習モデルの汎化性能と精度を大幅に改善します。

Python連携

3D医用画像深層学習支援

Pythonエンジニア向けに、DICOMデータ処理の複雑な実装を簡素化するAPIを提供。 NVIDIA MONAI対応でエコシステムとの高い互換性を実現。

充実したDICOM表示機能

断面表示(Axial/Sagittal/Coronal)、DVH表示、DRR表示など、 医療現場で必要とされる豊富なDICOM可視化機能を標準搭載。

ライセンス実績

Growth RTVシリーズ製品ライセンス提供実績

延べ150施設以上の医療機関・研究機関にライセンスを提供しています。

札幌医科大学附属病院 北海道大学 群馬大学 東京女子医科大学 国立がん研究センター中央病院 静岡県立静岡がんセンター 大阪大学医学部附属病院 京都大学 京都府立医科大学 兵庫県立がんセンター 九州大学 広島大学 Uni Klinikum Bielefeld Wonkwang University Hospital Seoul National University Bundang Hospital
技術仕様

システム要件・仕様

既存の医療IT環境に組み込みやすい設計。Windows標準環境で動作し、 DICOM/DICOM-RT規格に完全対応。

項目 要件・仕様
OS Windows 11 (64bit)
CPU Intel Core i3 3.0GHz以上(推奨: i7以上)
RAM 8GB以上(推奨: 16GB以上)
GPU CUDA対応 NVIDIA GeForce GTX400シリーズ以降(VRAM 2GB以上、4GB以上推奨)
入力形式 DICOM規格 / DICOM-RT規格
AI訓練 ノーコードGUI(Growth RTV) / Python API(外部連携)
表示機能 断面表示(Axial/Sagittal/Coronal)/ DVH表示 / DRR表示 / 3D
連携 NVIDIA MONAI対応 / Python連携API
ライセンス

用途に応じた
柔軟なライセンス

Growth RTVシリーズは用途に応じた3つの形態を提供しています。

臨床使用をお考えの方へ
医用画像解析ソフトウェア Growth RTV
医療機器認証取得済み(認証番号: 306AGBZX00004000)。診療業務での使用に対応した認証版があります。
認証版の詳細を見る →
教育・研究
Growth RTV Cloud
旧製品名「Growth RTV Edu」。研究・教育機関向けの無償アカデミックライセンス。
  • 基本DICOM-RT表示機能
  • 非商用利用に限る
無償版をダウンロード
OEM・組み込み
放射線治療、呼吸器外科、整形外科向けOEM製品等
Growth RTVエンジンを活用したOEM製品として、放射線治療・呼吸器外科・整形外科等の領域で組み込み提供。
  • 放射線治療計画システム向け組み込み
  • 呼吸器外科・整形外科対応AI機能
  • OEM向けカスタマイズ対応
  • 薬事取得サポート
お問い合わせ
お問い合わせ

Growth RTVを
貴院・研究室に

導入のご相談・ライセンス申請・デモンストレーション依頼など、
お気軽にお問い合わせください。通常2営業日以内にご返答いたします。

GALIM-TQもご検討中の方は こちら をご覧ください