特許取得済み · 医療機器申請中

歯列部CT金属
アーチファクト低減AI

D-MARは、歯列部CT画像に生じる金属アーチファクトを「除去」ではなく「復元」するAIです。 熟練者が手作業で33分かかる修正を、1/10以下(数分以内)に短縮。既存DICOMデータにそのまま適用できます。

1〜3分 AI自動処理時間(GPU・症例による)
33分→数分以内 処理時間1/10以下
特許取得済み 金属アーチファクト低減技術
D-MAR Processing AI Reconstructing
D-MAR 金属アーチファクト低減 Before/After CT画像
✓ 自動低減処理完了(数分以内) D-MAR v1.0 · Patent Pending
SCROLL
臨床課題

金属アーチファクトが治療計画を妨げる

治療計画精度の低下

インプラント周囲骨や補綴物マージンの視認性が低下し、正確な治療計画立案が困難になります。

デジタルワークフローへの影響

口腔内スキャナー(IOS)とのデータ照合精度が低下し、デジタルデンティストリーの精度に影響します。

手作業修正のコスト

熟練したオペレーターでも1症例あたり平均33分の手作業修正が必要で、業務効率を大きく損ないます。

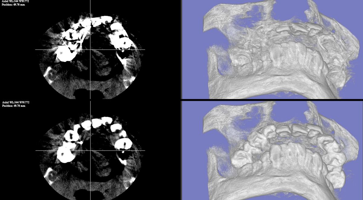
典型症例 ― 頭部・顎骨CT における金属アーチファクト(赤マーカー部)
顎骨CT 金属アーチファクト典型症例
BEFORE(従来)
平均 33分
熟練者による手作業修正 / 1症例
AFTER(D-MAR)
数分以内
AI自動処理 / 処理時間1/10以下
効果実証

複数症例で確認された低減効果

異なる撮影条件・症例においても、一貫してアーチファクト低減と解剖学的構造の復元を確認しています。

症例 A 上段: Before / 下段: After
D-MAR 症例A Before/After
症例 B 上段: Before / 下段: After
D-MAR 症例B Before/After

※ 画像は実際の処理結果です。症例・GPU環境により処理時間は異なります(目安: 1〜3分)

技術概要

「除去」から「復元」へ

D-MARは、金属アーチファクトを単に取り除くのではなく、AIが「本来あるべき解剖学的構造」を学習し、高精細に画像を復元します。

AI復元アプローチ

「除去」ではなく「復元」という発想の転換。AIが正常な解剖学的構造を統計的に学習し、金属の影響を受けた領域を精密に補完・復元します。

既存環境へのシームレスな統合

特定のハードウェアや装置に依存しません。既存のDICOMデータにそのまま後付けで適用でき、設備投資なしに導入できます。

主要CT装置への対応

主要なCT装置メーカーのDICOMデータで動作を確認済み。多様な撮影条件・装置特性に対応した頑健な処理を実現します。

解剖学的整合性の保持

隣接する正常組織・骨構造との整合性を維持しながら復元。診断に必要な解剖学的情報を損なわない高品質な出力を提供します。

対象・提供形態

幅広い導入形態

歯科医院・口腔外科・大学病院

クラウド / サブスクリプション形式で提供。既存のCT装置や診断ワークフローに組み込み可能です。

CT装置・医療機器メーカー(OEM・技術提携)

D-MARの処理エンジンをメーカーの装置・ソフトウェアに組み込むOEM・技術提携に対応します。

開発背景

臨床現場からの要請で生まれた技術

Step 01

医科CT領域での実績確立

大学病院との共同研究で医科CT向け金属アーチファクト低減技術を確立。特許取得、査読付き論文発表。術前計画時間を数日から30分に短縮する成果を達成。

Step 02

歯列CTへの展開

歯列CT特有の画像特性(低線量・撮影幾何学・メーカーごとの差異)に対応した独自の学習基盤を構築。2025年、歯列CT向けD-MAR開発に成功。

Step 03

医療機器申請・販売へ

2026年、医療機器申請・販売開始予定。クラウド・OEM形式で歯科医療現場への展開を進めています。

認証・知的財産

信頼の技術基盤

特許

特許取得済み

金属アーチファクト低減技術に関する特許を取得済みです。

医療機器申請

医療機器申請中

2026年 医療機器申請・販売開始予定。臨床での安全な利用に向けた認証取得を進めています。

お問い合わせ

D-MARで
治療計画精度を向上させる

デモのご依頼・OEM提携のご相談・資料請求など、お気軽にお問い合わせください。

Growth RTV認証製品については こちら、GALIM-TQについては こちら をご覧ください